
DigiSmile Orthodontics
Votre partenaire en imagerie 3D et dentisterie numérique
Radiologie numérique
La précision numérique à portée de main
Tous les produits présentés sur cette page sont proposés en collaboration avec Bescan, un partenaire de confiance pour les solutions numériques en orthodontie et dentisterie. Depuis 2016, Bescan accompagne les cabinets dans la modernisation de leur flux de travail et facilite leur transition vers une pratique entièrement numérique.

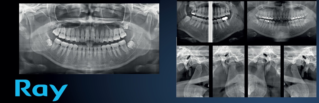
RAYSCAN Alpha Plus 160 – Précision dans chaque dimension
Découvrez la puissance de l'imagerie 3D avancée avec le RAYSCAN Alpha Plus 160. Cette solution tout-en-un combine scanners CBCT, radiographies panoramiques et céphalométrie dans un appareil compact et facile à utiliser. Grâce à une qualité d'image exceptionnelle allant jusqu'à 70 µm, un champ de vision variable jusqu'à 16 × 10 cm et une dose de rayonnement réduite, le RAYSCAN vous accompagne à chaque étape de votre flux de travail clinique – du diagnostic à la planification du traitement.
Qu'il s'agisse d'implantologie, d'orthodontie, d'endodontie ou de chirurgie maxillo-faciale, le RAYSCAN Alpha Plus 160 fournit rapidement et de manière fiable les informations dont vous avez besoin. Avec son interface intuitive, son temps de scan rapide et ses outils logiciels avancés, cet appareil élève votre cabinet à un niveau supérieur de précision, d'efficacité et de soins aux patients.

Champs de vision flexibles & haute résolution
-
Champs de scan (FOV) librement configurables – de 4 × 3 cm à 16 × 10 cm, adaptés à chaque besoin clinique.
-
Haute résolution jusqu'à 70 µm – pour des images extrêmement détaillées et précises.
-
FOV 4 × 5 cm: idéal pour les petites zones ou les applications en endodontie.
-
FOV 10 × 5 cm: parfait pour un quadrant spécifique.
-
FOV 10 × 10 cm: convient au diagnostic complet de la mâchoire supérieure ou inférieure.
-
FOV 16 × 10 cm: pour une vue d'ensemble complète des deux mâchoires et des structures environnantes.

RAYSCAN PreMiere – La perfection dans chaque détail
Le RAYSCAN PreMiere est une solution CBCT ultra-avancée avec un champ de scan étendu jusqu'à 18 × 16 cm, idéale pour les analyses anatomiques complètes et les traitements complexes. Grâce à sa haute résolution, à ses champs de vision flexibles et à des fonctions avancées telles que le scannage d'empreintes et l'intégration de l'image faciale, cet appareil offre des images d'une netteté exceptionnelle sans assemblage (stitching) et une précision diagnostique maximale en orthodontie, chirurgie maxillo-faciale, implantologie, et bien plus encore.

Champs de vision flexibles pour chaque besoin clinique
Choisissez précisément le champ de scan dont vous avez besoin grâce à une large gamme d'options FOV – des images détaillées aux scans cranio-faciaux complets :
-
FOV 4 × 5 cm: idéal pour les petites zones ou les applications en endodontie
-
FOV 10 × 5 cm: adapté à un quadrant spécifique
-
FOV 10 × 10 cm: parfait pour un diagnostic complet de la mâchoire supérieure ou inférieure
-
FOV 16 × 10 cm: pour une vue d'ensemble complète des deux mâchoires
-
FOV 18 × 16 cm: pour une imagerie cranio-faciale complète et une planification chirurgicale complexe

Panoramique avec autofocus automatique
Grâce à la technologie Adaptive Moving Focus, les meilleures couches d'image sont automatiquement sélectionnées pour des radiographies panoramiques claires et précises. Cela facilite l'évaluation de l'état parodontal de vos patients et la localisation exacte des lésions.

