
DigiSmile Orthodontics
Uw partner in 3D-beeldvorming en digitale tandheelkunde
Digitale Radiologie
Digitale precisie binnen handbereik
Alle producten op deze pagina zijn in samenwerking met Bescan, een betrouwbare partner voor digitale oplossingen in orthodontie en tandheelkunde. Sinds 2016 helpt Bescan praktijken hun workflow te moderniseren en de stap naar een volledig digitale praktijk eenvoudig te maken.

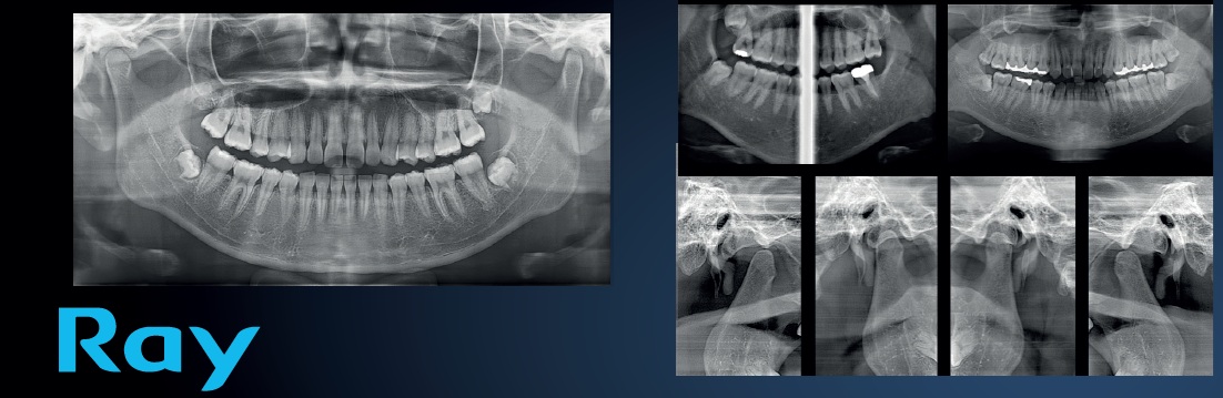
RAYSCAN Alpha Plus 160 – Precisie in elke dimensie
Ontdek de kracht van geavanceerde 3D-beeldvorming met de RAYSCAN Alpha Plus 160. Deze alles-in-één oplossing combineert CBCT-scans, panoramische röntgenbeelden en cephalometrie in één compact en gebruiksvriendelijk toestel. Dankzij een uitzonderlijke beeldkwaliteit tot 70 µm, een variabel beeldveld tot 16 × 10 cm en een lage stralingsdosis, ondersteunt RAYSCAN u bij elke stap van uw klinische workflow – van diagnose tot behandelplanning.
Of het nu gaat om implantologie, orthodontie, endodontie of kaakchirurgie, RAYSCAN Alpha Plus 160 levert snel en betrouwbaar de informatie die u nodig heeft. Met zijn intuïtieve bediening, snelle scantijd en geavanceerde softwaretools tilt dit toestel uw praktijk naar een hoger niveau van precisie, efficiëntie en patiëntenzorg.

Flexibele beeldvelden & hoge resolutie
Vrij instelbare scanvelden (FOV) – van 4 × 3 cm tot 16 × 10 cm, afgestemd op elke klinische nood.
Hoge resolutie tot 70 µm – voor uiterst gedetailleerde en nauwkeurige beelden.
FOV 4×5 cm: ideaal voor kleine regio's of endodontische toepassingen.
FOV 10×5 cm: ideaal voor een specifiek kwadrant.
FOV 10×10 cm: geschikt voor volledige boven- of onderkaakdiagnostiek.
FOV 16×10 cm: voor een compleet overzicht van beide kaken en omliggende structuren.

RAYSCAN PreMiere – Groots in elk detail
De RAYSCAN PreMiere is een uiterst geavanceerde CBCT-oplossing met een uitgebreid scanbereik tot 18 × 16 cm, ideaal voor volledige anatomische analyses en complexe behandelingen. Dankzij de hoge resolutie, flexibele beeldvelden en geavanceerde functies zoals impression scanning en gezichtsbeeldintegratie biedt dit toestel haarscherpe beelden zonder stitching en maximale diagnostische precisie bij orthodontie, kaakchirurgie, implantologie en meer.

Flexibele beeldvelden voor elke klinische behoefte
Kies precies het scanbereik dat u nodig hebt dankzij een ruim aanbod aan FOV-opties, van detailopnames tot volledige craniofaciale scans:
-
FOV 4 × 5 cm – ideaal voor kleine regio's of endodontische toepassingen
-
FOV 10 × 5 cm – geschikt voor een specifiek kwadrant
-
FOV 10 × 10 cm – perfect voor volledige boven- of onderkaakdiagnostiek
-
FOV 16 × 10 cm – voor een compleet overzicht van beide kaken
-
FOV 18 × 16 cm – voor volledige craniofaciale beeldvorming en complexe chirurgische planning

Panoramisch met automatische autofocus
Met de Adaptive Moving Focus-technologie worden automatisch de beste beeldlagen geselecteerd voor duidelijke en nauwkeurige panoramische opnames. Dit maakt het eenvoudig om de parodontale toestand van uw patiënt te evalueren en laesies precies te lokaliseren.

